Skip to content

Navigation Menu

Sign in
Appearance settings

Search code, repositories, users, issues, pull requests...

Provide feedback

We read every piece of feedback, and take your input very seriously.

Saved searches

Use saved searches to filter your results more quickly

Sign up
Appearance settings

linhandev/dataset

Repository files navigation

中文 | English

医学影像数据集集锦

前言

本项目的目标是整理一个医学影像方向数据集的列表,提供每个数据集的基本信息,并在License允许的前提下提供不限速下载。如果您想使用的数据集不在列表中我们可以提供免费代下。项目按照数据集模态或关注的器官分类。当前共收录约 20 个方向的 80+ 个数据集

医学影像数据集众多多且专业性强,众人拾柴火焰高!如果您使用过列表中没有的数据集,或发现列表中的信息有任何疏漏,我们非常希望您可以参与项目建设

联系维护者:me@linhan.email 微信 linhandev

目录

=================

Star History Chart

肝脏

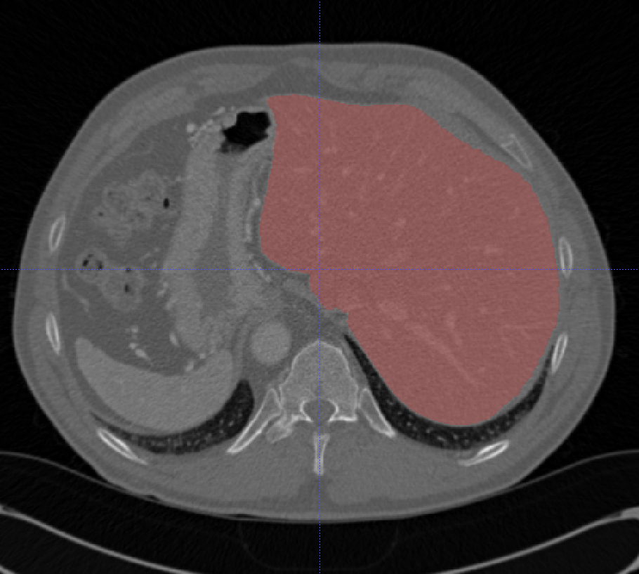
LiTS

名称 标注内容 类型 模态 数量 标签格式 文件格式 License
LiTS 肝脏/肝脏肿瘤 分割 CT 131+70 0/1标签 nii CC BY-NC-ND 4.0

LiTS数据集包含131组训练扫描和70组测试扫描,其中70组测试数据标签不公开。LiTS训练集中包含3DIRCADB中的所有数据,所以不要合并这两个数据集。Medical Segmentation Decathlon中肝脏分割的数据集就是LiTS。

分割结果可以在线提交进行评估,在线提交方法参考在线提交地址

数据集论文:The Liver Tumor Segmentation Benchmark (LiTS)

相关项目: 基于Paddle的肝脏CT影像分割

Aistudio下载

Sliver07

名称 标注内容 类型 模态 数量 标签格式 文件格式 License
Sliver07 肝脏 分割 CT 20+10 0/1标签 MetaImage Other

这个数据集比较老了,现在用的也比较少,一些研究会将sliver和lits合起来,这样基本上就是所有常用的关于肝脏分割的公开数据了。mhd格式可以用 SimpleITK 读,在medseg项目中有转换成nii的脚本

Aistudio下载

3D-IRCADB

名称 标注内容 类型 模态 数量 标签格式 文件格式 License
3D-IRCADb 01 02 肝脏/肝肿瘤 分割 CT 20+2 surface mesh dcm CC

3D-IRCADb是比较早的一个数据集,有两个子集,分别包含20组和2组CT片子。

Aistudio下载

CHAOS

名称 标注内容 类型 模态 数量 标签格式 文件格式 License
CHAOS 肝/肾/脾 分割 CT+MRI 40CT+120MRI 0/1标签 dcm CC 4.0

CHAOS是一个多脏器,多模态分割数据集。

CHAOS

Aistudio下载

TCGA-LIHC

名称 标注内容 类型 模态 数量 标签格式 文件格式 License
TCGA-LIHC CT/MR/PT 97患者/237套 无标签 dcm Other

tcga-lihc

Aistudio下载

MSD肝脏血管分割

名称 标注内容 类型 模态 数量 标签格式 文件格式 License
MSD肝脏血管分割 肝脏血管 分割 CT 443 0/1 nii CC-BY-SA 4.0

hepatic-Vessels

Aistudio下载

MSD肺癌分割

名称 标注内容 类型 模态 数量 标签格式 文件格式 License
MSD肺癌分割 肺脏 分割 CT 96 0/1 nii CC-BY-SA 4.0

Lung-Tumours

Aistudio下载

LoLa11肺叶分割

名称 标注内容 类型 模态 数量 标签格式 文件格式 License
LoLa11 None 分割 CT 55 None Metaimage Other

lola11

LoLa11 包含55套CT数据,未发现任何公开标注信息

zenodo下载

StructSeg2019

名称 标注内容 类型 模态 数量 标签格式 文件格式
StructSeg2019

structseg2019

肺部多病智能诊断

名称 标注内容 类型 模态 数量 标签格式 文件格式
肺部多病智能诊断 CT

CheXpert

名称 标注内容 类型 模态 数量 标签格式 文件格式 License
CheXpert Other

chestxpert

介绍论文: CheXpert: A Large Chest Radiograph Dataset with Uncertainty Labels and Expert Comparison

相关项目

NIHChest Xray

名称 标注内容 类型 模态 数量 标签格式 文件格式 License
NIHChest Xray 14种肺部疾病/部分病灶位置 分类/检测 CXR 112,120 csv png CC0: Public Domain

img 介绍论文: ChestX-ray8: Hospital-scale Chest X-ray Database and Benchmarks on Weakly-Supervised Classification and Localization of Common Thorax Diseases

Aistudio下载

QIN Lung CT

名称 标注内容 类型 模态 数量 标签格式 文件格式 License
QIN Lung CT 非小細胞癌 CT 47 dcm Other

Aistudio下载

4D-Lung

名称 标注内容 类型 模态 数量 标签格式 文件格式 License
4D-Lung 非小細胞癌 CT 20 dcm Other

Aistudio下载

NSCLC-Radiomics

名称 标注内容 类型 模态 数量 标签格式 文件格式
NSCLC-Radiomics 非小细胞癌 分割 CT 422 dcm

NSCLC-Radiomics

Aistudio下载

vessel12 肺部血管分割

名称 标注内容 类型 模态 数量 标签格式 文件格式 License
vessel12 肺部血管分割 肺部血管 分割 CT 20 raw

vessel12

Aistudio下载

肺结核

Shenzhen Hospital X-ray Set

名称 标注内容 类型 模态 数量 标签格式 文件格式
Shenzhen Hospital X-ray Set 肺结核/正常 分类 CXR 662 类别 图片

深圳第三医院收集的肺结核胸透数据集,包含326张正常扫描和336张不正常的扫描。

Aistudio下载

Montgomery County X-ray Set

名称 标注内容 类型 模态 数量 标签格式 文件格式
Montgomery County X-ray Set 肺结核/正常 分类 CXR 138 类别 图片

蒙哥马利市收集的肺结核胸透数据集,包含80张正常的扫描和58张不正常的扫描。

Aistudio下载

肺炎

Ieee8023

名称 标注内容 类型 模态 数量 标签格式 文件格式
Ieee8023 肺脏 分类 CT 20 nii

持续搜集公开的新冠CT扫描,目前有20个病例。

Aistudio下载

covid19-ct-scans

名称 标注内容 类型 模态 数量 标签格式 文件格式
covid19-ct-scans 左右肺/新冠感染 分割 CT 20 nii

数据来自Ieee8023,对20组扫描进行了左右肺和感染区的标注。基于这个数据集和另外几个数据集,大佬们做了一个新冠分割的 benchmark

Aistudio下载

COVID-CT

名称 标注内容 类型 模态 数量 标签格式 文件格式
COVID-CT 分类 CT 349 图片

包含216名新冠患者的349张胸部CT图片,从相关paper中收集。

Aistudio下载

Figure1-COVID-chestxray-dataset

名称 标注内容 类型 模态 数量 标签格式 文件格式
Figure1-COVID-chestxray-dataset 分类 CXR 48 图片

DarwinAI收集的一些新冠CT的图片,是CovidX数据集的一部分。持续更新,使用前可以先pull。

Aistudio下载

RSNA肺炎检测

名称 标注内容 类型 模态 数量 标签格式 文件格式 License
RSNA肺炎检测 是否肺炎 肺炎区域BB 分类 检测 CXR 26684+3000 图片 Custom

北美放射学会在Kaggle上组织的一个比赛数据集,数据来自NIH。包含26684张训练数据,有图片的分类和肺炎区域的边界框。

CovidX

名称 标注内容 类型 模态 数量 标签格式 文件格式
CovidX 新冠/其他肺炎/正常 分类 CT 13569+231 图片

CovidX数据集是DarwinAI训练CovidNet做的一个数据集,本身没有新的数据,是Ieee8023,Figure1和RSNA组合成的一个数据集。

Flyai Covid

名称 标注内容 类型 模态 数量 标签格式 文件格式
Flyai Covid

Flyai举办的一个新冠分类比赛。

Aistudio下载

covid19-radiography-database

名称 标注内容 类型 模态 数量 标签格式 文件格式
covid19-radiography-database 新冠/其他肺炎/正常 分类 CT 219+1314+1345 图片

跟CovidX一样是一个组合数据集,数据来自论文图片和RSNA。

Aistudio下载

COVID-19-AR

名称 标注内容 类型 模态 数量 标签格式 文件格式
COVID-19-AR dcm

Chest Imaging with Clinical and Genomic Correlates Representing a Rural COVID-19 Positive Population (COVID-19-AR)

Aistudio下载

CT Images in COVID-19

名称 标注内容 类型 模态 数量 标签格式 文件格式
CT Images in COVID-19 无标签 分类/分割 CT 平扫 771 nii

Aistudio下载 相关论文:

肺结节

LIDC-IDRI

名称 标注内容 类型 模态 数量 标签格式 文件格式
LIDC-IDRI 肺部肿瘤 目标检测 CT 1012 xls dcm

介绍论文: The Lung Image Database Consortium (LIDC) and Image Database Resource Initiative (IDRI): A Completed Reference Database of Lung Nodules on CT Scans

The public cancer radiology imaging collections of The Cancer Imaging Archive

Aistudio下载 Part1 Part2

LUNA16

名称 标注内容 类型 模态 数量 标签格式 文件格式
LUNA16

Aistudio下载

天池肺部结节

名称 标注内容 类型 模态 数量 标签格式 文件格式 License
天池肺部结节 肺部结节 检测 低剂量肺部CT 1000(初赛) + 2000(复赛) 位置+直径 mhd Custom

LNDB

名称 标注内容 类型 模态 数量 标签格式 文件格式
LNDB 直径大于3mm的肿瘤分割标注/小于3mm肿瘤和非肿瘤标记中心 分割/分类 CT 294 XML MetaImage

介绍论文: LNDb: A Lung Nodule Database on Computed Tomography

Aistudio下载

Lung Nodule Malignancy

名称 标注内容 类型 模态 数量 标签格式 文件格式
Lung Nodule Malignancy 肺结界良恶性 分类 CT 4165+2526 tif

Aistudio下载

Data Science Bowl 17

名称 标注内容 类型 模态 数量 标签格式 文件格式
Data Science Bowl 17

Aistudio下载

Lung-PET-CT-Dx

名称 标注内容 类型 模态 数量 标签格式 文件格式
Lung-PET-CT-Dx 肺癌 目标检测 CT 363 xml dcm

Lung-PET-CT-Dx

气胸

SIIM-ACR Pneumothorax Segmentation

名称 标注内容 类型 模态 数量 标签格式 文件格式
SIIM-ACR Pneumothorax Segmentation

CBIS-DDSM

名称 标注内容 类型 模态 数量 标签格式 文件格式
CBIS-DDSM 正常/良性/恶性 分类 CT 2620

介绍论文: Deep Learning to Improve Breast Cancer Early Detection on Screening Mammography A curated mammography data set for use in computer-aided detection and diagnosis research

Aistudio下载

QIN Breast

名称 标注内容 类型 模态 数量 标签格式 文件格式
QIN Breast 01 02 MRI 67

Aistudio下载

Rider Breast MRI

名称 标注内容 类型 模态 数量 标签格式 文件格式
Rider Breast MRI MRI

ACRIN 6688

名称 标注内容 类型 模态 数量 标签格式 文件格式
ACRIN 6688 CT 83

Aistudio下载

BraTS2013

名称 标注内容 类型 模态 数量 标签格式 文件格式
BraTS2013

BraTS2015

名称 标注内容 类型 模态 数量 标签格式 文件格式
BraTS2015

Aistudio下载

BraTS2021

名称 标注内容 类型 模态 数量 标签格式 文件格式
BraTS2021

MSD脑瘤分割

名称 标注内容 类型 模态 数量 标签格式 文件格式 License
MSD Brain Tumor Segmentation 胶质瘤/肿瘤/水肿 分割 MRI 484 Train + 266 Test 0/1 nii CC-BY-SA 4.0

msd-brain

Aistudio下载

MSD海马体分割

名称 标注内容 类型 模态 数量 标签格式 文件格式 License
MSD Hippocampus Segmentation 海马体 分割 MRI 394 0/1 nii CC-BY-SA 4.0

msd-hippocampus

Aistudio下载

Iseg2019

名称 标注内容 类型 模态 数量 标签格式 文件格式
Iseg2019

ABIDE

名称 标注内容 类型 模态 数量 标签格式 文件格式
ABIDE 是否有自闭症 分类 MRI 539+573

自闭症患者的头部MRI扫描,包含539例自闭症患者和573个正常扫描对照组。 介绍论文: The autism brain imaging data exchange: towards a large-scale evaluation of the intrinsic brain architecture in autism.

下载地址

ADNI

名称 标注内容 类型 模态 数量 标签格式 文件格式
ADNI

介绍论文: Alzheimer's Disease Neuroimaging Initiative (ADNI)

CQ500

名称 标注内容 类型 模态 数量 标签格式 文件格式 License
CQ500 分割 CT 491组扫描 by-nc-sa 4.0

介绍论文:Development and Validation of Deep Learning Algorithms for Detection of Critical Findings in Head CT Scans

脑出血

RSNA Intracranial Hemorrhage Detection

名称 标注内容 类型 模态 数量 标签格式 文件格式
RSNA Intracranial Hemorrhage Detection CT

肾脏

Kits19

名称 标注内容 类型 模态 数量 标签格式 文件格式 License
Kits19 肾脏/肾肿瘤 分割

kits19

Aistudio下载

CT COLONOGRAPHY

名称 标注内容 类型 模态 数量 标签格式 文件格式
CT COLONOGRAPHY CT

包含没有结肠息肉,有6-9mm息肉和大于10mm息肉的数据。

MSD肠道分割数据集

名称 标注内容 类型 模态 数量 标签格式 文件格式 License
MSD肠道分割数据集 结肠癌原发病灶 分割 CT 126训练+64测试 CC-BY-SA 4.0

Aistudio下载

心脏

EchoNet

名称 标注内容 类型 模态 数量 标签格式 文件格式
EchoNet 心脏 分割 MRI 10300 0/1

介绍论文: EchoNet-Dynamic: a Large New Cardiac Motion Video Data Resource for Medical Machine Learning

MMWHS

名称 标注内容 类型 模态 数量 标签格式 文件格式
MMWHS 心脏 分割 CT / MRI 20CT、20MRI 类别 nii

mmwhs是心脏分割数据集,共有8类,MRI和CT两种模态 相关项目: Hybrid Loss Guided Convolutional Networks for Whole Heart Parsing

MSD心脏分割

名称 标注内容 类型 模态 数量 标签格式 文件格式 License
MSD心脏分割 左心房 分割 MRI 20(训练)+10(测试) CC-BY-SA 4.0

msd-Cardiac

Aistudio下载

主动脉

冠状动脉分割

名称 标注内容 类型 模态 数量 标签格式 文件格式 License
Automated Segmentation of Coronary Arteries 冠状动脉 分割 CTA 40+20 Custom

Grand Challenge下载

眼睛

DRIVE

名称 标注内容 类型 模态 数量 标签格式 文件格式
DRIVE 眼底血管 分割 眼底照片 40 0/1 图片

DRIVE数据集是一个糖尿病病人眼底血管分割数据集。

Aistudio下载

ODIR-5k

名称 标注内容 类型 模态 数量 标签格式 文件格式
ODIR-5k 正常和7种疾病 分类 眼底彩色照片 5000 图片

ODIR-5K包括5000名患者的年龄,双眼的彩色眼底照片和医生的诊断关键词。该数据集是上工医疗技术有限公司从中国不同医院/医疗中心收集的"真实"患者信息。在这些机构中,眼底图像由市场上的各种相机捕获,例如Canon,Zeiss和Kowa,因此导致各种各样的图像分辨率。病人的识别信息会被移除。注释由经过培训的人类读者进行标记,并具有质量控制管理。患者分为8个标签,包括正常(N),糖尿病(D),青光眼(G),白内障(C),AMD(A),高血压(H),近视(M)和其他疾病/异常(O)。

FIRE 视网膜图像数据

名称 标注内容 类型 模态 数量 标签格式 文件格式
FIRE 视网膜图像数据 分类 视网膜图像 129

FIRE 是一个视网膜眼底图像数据集,包含 129张 眼底视网膜图像,由不同特征组合成 134对 图像组合。这些图像组合根据特质被划分为3类。眼底图像由 Nidek AFC-210 眼底照相机采集,分辨率为2912x2912,视觉仰角为40度。图像由 Papageorgiou Hospital 医院和Aristotle University of Thessaloniki大学共同构建,由于Thessaloniki 大学采集自39名患者。. 数据包括以下几部分内容: 1.成对的视网膜图像。 2.彩色ROI掩模(作为二值图像)。 3.特征ROI掩模(作为二值图像)。 4.每个图像对应的标注点。

STARE

名称 标注内容 类型 模态 数量 标签格式 文件格式 License
STARE 眼底血管 分割 眼底照片 400 照片 照片

stare

STructured Analysis of the Retina数据集包含400张眼底照片,作者团队对这些数据进行了多种诊断,并对部分数据的血管进行了标注

Aistudio下载

CHASE_DB1

名称 标注内容 类型 模态 数量 标签格式 文件格式 License
CHASE_DB1 眼底血管 分割 眼底照片 28 png png

CHASE_DB1

Kinston大学公开的一个小规模眼底分割数据集,包含28张眼底照片及对应的分割标签。

Aistudio下载

IDRiD

名称 标注内容 类型 模态 数量 标签格式 文件格式 License
IDRiD 常见DR病灶、视盘、DR病变等级等 分类、检测、分割 眼底照片 * tif/csv jpg CC BY 4.0

Indian Diabetic Retinopathy Image Dataset (IDRiD)

Aistudio下载

前列腺

PANDA

名称 标注内容 类型 模态 数量 标签格式 文件格式
PANDA 前列腺癌分级 镜检图片 10616张镜检 分类 tiff

MSD前列腺分割

名称 标注内容 类型 模态 数量 标签格式 文件格式 License
MSD前列腺分割 前列腺中央腺体及外周区域 分割 多模态核磁 32(训练)+16(测试) CC-BY-SA 4.0

msd-prostate

Aistudio下载

QIN-PROSTATE-Repeatability

名称 标注内容 类型 模态 数量 标签格式 文件格式
QIN-PROSTATE-Repeatability 前列腺癌 MRI 15 dcm

QIN-Prostate-Repeatability

Aistudio下载

胰腺

MSD胰腺分割

名称 标注内容 类型 模态 数量 标签格式 文件格式 License
MSD胰腺分割 胰腺肿瘤 分割 CT 282(训练)+139(验证) 0/1 nii CC-BY-SA 4.0

Aistudio下载

PDMR-833975-119-R

名称 标注内容 类型 模态 数量 标签格式 文件格式
PDMR-833975-119-R 胰腺癌 MRI 20 dcm

PDMR-833975-119-R

Aistudio下载

皮肤

SIIM-ISIC Melanoma Classification

名称 标注内容 类型 模态 数量 标签格式 文件格式
SIIM-ISIC Melanoma Classification 皮肤癌病变类别 分类 皮肤镜 88.3K张图片 类别 dicom

目前最大的皮肤镜图像集合,用来在皮肤病变图像中之别黑色素瘤,图片以DICOM格式提供,同时包含图像元数据,有的图像也以JPEG和TFRecord格式提供,TFRecords格式的图像已被调整为统一的1024x1024

镜检

细胞

Data Science Bowl 18

名称 标注内容 类型 模态 数量 标签格式 文件格式
Data Science Bowl 18 细胞核 分割 841张/37333个细胞核 0/1 图片

细胞核分割数据集

介绍论文: Nucleus segmentation across imaging experiments: the 2018 Data Science Bowl

Aistudio下载

血细胞涂片分类

名称 标注内容 类型 模态 数量 标签格式 文件格式
血细胞涂片分类 四种血细胞类型 分类 镜检 12500 - 图片

血细胞分类数据集包含12500张四种血细胞的照片。图片是从大的血细胞涂片照片上截下来的,数据集经过增广。图片都很小,训练时注意IO瓶颈。

Aistudio下载

ISBI细胞跟踪

名称 标注内容 类型 模态 数量 标签格式 文件格式
ISBI细胞跟踪 细胞像素级别位置 跟踪 镜检 图片

在镜检视频中像素级跟踪细胞位置

Aistudio下载 2D+Time Datasets

穿刺

BCNB乳腺癌穿刺活检

名称 标注内容 类型 模态 数量 标签格式 文件格式 License
BCNB 乳腺癌肿瘤 分类 1058 excel JPG Excel Custom

Early Breast Cancer Core-Needle Biopsy WSI (BCNB) Dataset,早期乳腺癌患者的穿刺活检WSI。在早期乳腺癌患者的病理WSI中,标注了部分的肿瘤区域,并提供了一些临床信息(age, tumor size, tumor type, ER, PR, HER2, HER2 expression, histological grading, surgical, Ki67, molecular subtype, number of lymph node metastases, label)

骨骼

MURA-1.1

名称 标注内容 类型 模态 数量 标签格式 文件格式
MURA-1.1 正常/非正常 分类 x-ray 40561

介绍论文: MURA: Large Dataset for Abnormality Detection in Musculoskeletal Radiographs

Aistudio下载

RSNA Bone Age

名称 标注内容 类型 模态 数量 标签格式 文件格式
RSNA Bone Age

Aistudio下载

磁共振图像脊柱结构多类别三维自动分割

名称 标注内容 类型 模态 数量 标签格式 文件格式 License
磁共振图像脊柱结构多类别三维自动分割 椎骨和椎间盘 分割 MRI T2WI 172 0/1 nii Custom

spine-mri

Aistudio下载

膝盖

MRNet

名称 标注内容 类型 模态 数量 标签格式 文件格式
MRNet

Aistudio下载

脊椎

Verse大规模脊椎分割数据集

名称 标注内容 类型 模态 数量 标签格式 文件格式 License
VerSe 脊椎 分割 CC BY-SA 4.0

Aistudio下载

VQA

PathVQA

名称 标注内容 类型 模态 数量 标签格式 文件格式
PathVQA 图片 4998图片/32799问答 图片

介绍论文: PathVQA: 30000+ Questions for Medical Visual Question Answering

Aistudio下载

内窥镜

SARAS-MESAD

名称 标注内容 类型 模态 数量 标签格式 文件格式 License
SARAS-MESAD 24种动作 静态背景动作识别 内窥镜 4(真实手术)+5(模拟手术) CC BY-NC-SA 4.0

saras-mesad

SARAS-MESAD

名称 标注内容 类型 模态 数量 标签格式 文件格式 License
SARAS-ESAD 21种手术动作 静态背景动作识别 内窥镜 22,601(训练)+4,574(测试) 图片 BB CC BY-NC-SA

SARAS-ESAD

数字病理

CAMELYON

名称 标注内容 类型 模态 数量 标签格式 文件格式 License
CAMELYON16,17 镜检 图片 BB CC0

CAMELYON17

心电图

CAMELYON

名称 标注内容 类型 模态 数量 标签格式 文件格式 License
TUH EEG信号 癫痫类别 分类 心电图 发作数 2377 癫痫发作类别 edf can be used for both research and commercialization purposes

EEG

交流群

如果您对医学影像技术感兴趣,欢迎加入医学影像技术交流群 365213556 ,与更多大佬一起交流,共同进步!

257867080

医学影像数据库

TCIA:The Cancer Imaging Archive

MedPix 包含超过12000名患者和59000张影像

Belarus tuberculosis portal 包含结核病人的CT,胸透和检验数据

Grand Challenges

LONI 神经相关医学影像

TUH EEG Temple大学脑电波公开数据库,包含超过4T数据

参考项目/列表

医学影像分割挑战

胸部\肺部ct数据集

adalca

beamandrew

Stanford ML Group

omic tools

各领域公开数据集

medical-imaging-datasets

Open-Access Medical Image Repositories

Medical Image Datasets Download Links

HAM10000 dataset

Dermatology Image Classification

havard

usc

burkely

isdis

radiopedia

aimi

贡献者

(按照首次贡献时间排序)

多语言代码生成器 Mail : linhandev@qq.com

自尊心3

底迪

ChenchenHu007

lixinhui541

吖吖查

parap1uie-s

Jianpeng Zhao

Amandalala

Release Note

2021年5月21日
开始添加数据集图片,接受多次外部贡献,对存量数据集进行合规检查,数据集总量达到71

2020年11月20日
添加Issue模板,鼓励外部贡献,数据集数量达到67

2020年11月8日
在Github发布,整理格式,添加多个数据集

2020年6月11日
添加LIDC-IDIR,编写数据压缩脚本

2020年6月4日
添加MMWHS心脏分割数据集,SIIM皮肤病分类比赛数据集

2020年5月27日
添加ISBI细胞分割,TCGA-LIHC肝脏,4D-Lung肺部数据集,围绕乳腺癌添加一系列数据集

2020年5月20日
项目添加数据集计数和release note,数据集方面添加 RSNA骨龄,PathVQA,FIRE视网膜,DDSM乳腺癌等数据集

2020年5月13日
项目在Aistudio公开,包含约40个数据集

AltStyle によって変換されたページ (->オリジナル) /